Διάγνωση Μηνιγγοεγκεφαλίτιδων

Η οριστική διάγνωση των MUO βασίζεται στα χαρακτηριστικά ευρήματα της ιστοπαθολογικής εξέτασης από ιστό εγκεφάλου ή νωτιαίου μυελού, μετά το θάνατο του ζώου. Η υποθετική διάγνωση με το ζώο εν ζωή θεμελιώνεται με βάση τα στοιχεία του ζώου, το ιστορικό, τα κλινικά συμπτώματα, την ανάλυση του ΕΝΥ και τις νευροαπεικονιστικές εξετάσεις του εγκεφάλου. Η κύρια διαφορική διάγνωση των μηνιγγοεγκεφαλίτιδων αγνώστου αιτιολογίας είναι οι λοιμώδεις εγκεφαλίτιδες.

Με βάση μια κλινική έρευνα, θεωρείται ότι η διαγνωστική ακρίβεια της ανάλυσης του ΕΝΥ και της MRI δεν πρέπει να αξιολογούνται πάντα ως θετικά ευρήματα επιβεβαίωσης της μηνιγγοεγκεφαλίτιδας επειδή σε ορισμένα περιστατικά μηνιγγοεγκεφαλίτιδας αγνώστου αιτιολογίας δεν παρατηρήθηκαν παθολογικά ευρήματα στη μια ή τη άλλη διαγνωστική δοκιμή.

Σύμφωνα με μια άλλη μελέτη διαπιστώθηκε ότι στο 25% των σκύλων, που η ανάλυση του ΕΝΥ έδειξε ευρήματα φλεγμονής, δεν απεικονίστηκαν παθολογικά ευρήματα στην MRI του εγκεφάλου. Επομένως, μια φυσιολογική MRI εγκεφάλου δεν αποκλείει φλεγμονή του ΚΝΣ.

Σημαντική σημείωση

Οι περισσότερες περιπτώσεις μηνιγγοεγκεφαλίτιδων αγνώστου αιτιολογίας χαρακτηρίζονται από πολυεστιακά νευρικά συμπτώματα, πλειοκυττάρωση με μονοπύρηνα κύτταρα στο ΕΝΥ και υπέρπυκνες αλλοιώσεις στην ακολουθία Τ2 στη μαγνητική τομογραφία του εγκεφάλου.

Κλινικά συμπτώματα      

Οι ΜΕΜ αγνώστου αιτιολογίας χαρακτηρίζονται από υπεροξεία ή οξεία εμφάνιση  πολυεστιακών ή διάχυτων συμπτωμάτων εγκεφαλοπάθειας, τα οποία προοδευτικά επιδεινώνονται. Συμπτώματα από άλλα οργανικά συστήματα είναι σπάνια, αν και μερικές φορές συνυπάρχει πυρετός και λευκοκυττάρωση.

Διαφορική διάγνωση

Η διαφορική διάγνωση για σκύλους νεαρής κυρίως, ηλικίας που εκδηλώνουν υπεροξεία ή οξεία εμφάνιση πολυεστιακών συμπτωμάτων εγκεφαλοπάθειας  περιλαμβάνει:

  • Συγγενείς ανωμαλίες με ανεπαρκή αντιρρόπηση ( υδροκέφαλος, παραμόρφωση τύπου Chiari)
  • Μεταβολικές διαταραχές (υπογλυκαιμία, υποθυρεοειδισμός)
  • ΜΕΜ λοιμώδους αιτιολογίας
  • Νεοπλασία των μηνίγγων (λέμφωμα, μηνιγγίωμα) ή του εγκεφαλικού παρεγχύματος
  • Βρώση νευροτοξινών
  • Αγγειακό εγκεφαλικό επεισόδιο
  • Κρανιοεγκεφαλική κάκωση

Οι μεταβολικές διαταραχές και η τοξίκωση εκδηλώνονται με συμμετρικά νευρολογικά ελλείμματα. Οι υπόλοιπες εγκεφαλοπάθειες εμφανίζουν συνήθως ασύμμετρα νευρολογικά ελλείμματα.

MRI εγκεφάλου

Η νευροαπεικονιστική εξέταση επιλογής σε περίπτωση υποψίας μηνιγγοεγκεφαλίτιδας αγνώστου αιτιολογίας είναι η MRI του εγκεφάλου.

Στην MRI, οι φλεγμονώδεις αλλοιώσεις απεικονίζονται υπέρπυκνες (ανοιχτόχρωμες) στις ακολουθίες Τ2 και FLAIR και υπόπυκνες (σκουρόχρωμες) ή με την ίδια ένταση σήματος στην ακολουθία Τ1 χωρίς σκιαγραφικό μέσο, σε σύγκριση με το φυσιολογικό εγκεφαλικό παρέγχυμα. Μετά τη χορήγηση σκιαγραφικού μέσου (γαδολίνιο, gadolinium), απεικονίζεται ποικίλου βαθμού πρόσληψή του σε περιοχές με αλλοιώσεις στην ακολουθία Τ1. Ο εμπλουτισμός των αλλοιώσεων με σκιαγραφικό μέσο οφείλεται στη ρήξη του αιματοεγκεφαλικού φραγμού, με συνέπεια τη διάχυση του σκιαγραφικού μέσου στην περιοχή των αλλοιώσεων.

Δεν είναι βέβαιο ότι σε κάθε περιστατικό με μηνιγγοεγκεφαλίτιδα αγνώστου αιτιολογίας απεικονίζονται οι εγκεφαλικές αλλοιώσεις στη MRI. Επίσης, με την MRI δεν υπάρχει η δυνατότητα διαχωρισμού των διαφόρων κατηγοριών των MUO.

Αναφέρεται ότι η ακολουθία FLAIR έχει μεγαλύτερη ευαισθησία στην απεικόνιση πολυεστιακών εγκεφαλικών αλλοιώσεων σε σκύλους με παθολογικά ευρήματα στην ανάλυση του ΕΝΥ, σε σύγκριση με την ακόλουθα Τ2 και την ακολουθία Τ1 πριν και μετά τη χορήγηση σκιαγραφικού μέσου. Η πρόσληψη ή όχι του σκιαγραφικού μέσου από τις εγκεφαλικές αλλοιώσεις εξαρτάται από το βαθμό καταστροφής του αιματοεγκεφαλικού φραγμού και την παρουσία ή όχι αγγειοδιαστολής ή νεοαγγείωσης. Επομένως, η πρόσληψη σκιαγραφικού μέσου δεν αποτελεί παθογνωμονικό εύρημα των φλεγμονωδών νόσων του ΚΝΣ και επιπλέον δεν διαφοροποιεί τις άσηπτες από τις λοιμώδεις εγκεφαλίτιδες.

Ο αριθμός και η μορφή των αλλοιώσεων που απεικονίζονται στην MRI μπορεί να βοηθήσουν στη διαφορική διάγνωση μεταξύ ενδοκράνιου όγκου και εγκεφαλίτιδας.

Στη διαφορική διάγνωση των πολυεστιακών εγκεφαλοπαθειών, με βάση τη MRI, περιλαμβάνονται:

α) οι  μηνιγγοεγκεφαλίτιδες αγνώστου αιτιολογίας

β) οι λοιμώδεις μηνιγγοεγκεφαλίτιδες

γ) τα αγγειακά εγκεφαλικά επεισόδια (?)

δ) το λέμφωμα του ΚΝΣ  

ε) οι πρωτογενείς και δευτερογενείς ενδοκράνιοι όγκοι

Τα πιο χαρακτηριστικά ευρήματα της κοκκιωματώδους μηνιγγοεγκεφαλίτιδας, στη MRI, είναι οι υπέρπυκνες (ανοιχτόχρωμες) περιοχές με πολυεστιακή ή διάχυτη κατανομή και ανώμαλη περιφέρεια στην ακολουθία Τ2 και FLAIR. Στην ακολουθία Τ1 με σκιαγραφικό μέσο απεικονίζεται ποικίλου βαθμού πρόσληψη του σκιαγραφικού μέσου. Παρότι οι ιστοπαθολογικές αλλοιώσεις της κοκκιωματώδους μηνιγγοεγκεφαλίτιδας εντοπίζονται στη λευκή ουσία, τα απεικονιστικά ευρήματα στην MRI κατανέμονται τόσο στη λευκή όσο και στη φαιά ουσία. 

Τα συχνότερα απεικονιστικά ευρήματα της νεκρωτικής μηνιγγοεγκεφαλίτιδας στην MRI είναι: ασύμμετρες πολυεστιακές αλλοιώσεις στα εγκεφαλικά ημισφαίρια, οι οποίες προσβάλλουν την φαιά και την λευκή ουσία, με ποικίλου βαθμού πρόσληψη σκιαγραφικού στην ακολουθία Τ1. Μπορεί να παρατηρηθεί απώλεια του διαχωρισμού μεταξύ φαιάς και λευκής ουσίας. Οι αλλοιώσεις παρουσιάζονται με σήμα υψηλής έντασης στην ακολουθία Τ2.

Ανάλυση ΕΝΥ

Η ανάλυση του ΕΝΥ παρέχει σημαντικές πληροφορίες, που βοηθούν στη διάγνωση των μηνιγγοεγκεφαλίτιδων αγνώστου αιτιολογίας. Τα χαρακτηριστικά παθολογικά ευρήματα στην ανάλυση του ΕΝΥ είναι η πλειοκυττάρωση με μονοπύρηνα κύτταρα, ο μικρός αριθμό ουδετερόφιλων (μ.ο. ουδετερόφιλων 20%) και η αυξημένη συγκέντρωση πρωτεϊνών. Σπάνια, σε σκύλους με MUO (ποσοστό <10%) παρατηρείται ουδετεροφιλική πλειοκυττάρωση ή η ανάλυση του ΕΝΥ δεν έχει παθολογικά ευρήματα. Η αυξημένη συγκέντρωση πρωτεϊνών, που οφείλεται σε διαταραχή στον αιματοεγκεφαλικό φραγμό, αποτελεί ένα μη ειδικό δείκτη νόσου του ΚΝΣ.

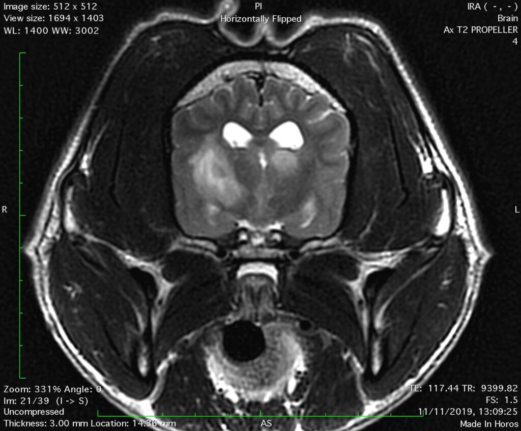
magnitiki minigoecephalitida

Εγκάρσια τομή του εγκεφάλου με ακολουθία Τ2. Απεικονίζονται πολυεστιακές ενδοπαρεγχυματικές αλλοιώσεις αυξημένης έντασης του σήματος με ασαφή όρια, σε σκύλο με μηνιγγοεγκεφαλίτιδα αγνώστου αιτιολογίας (MUO).

Συλλογή και ανάλυση ΕΝΥ

Η ανάλυση του ΕΝΥ είναι βασική εξέταση για την διαγνωστική προσέγγιση παθήσεων του ΚΝΣ. Η συλλογή γίνεται με παρακέντηση της παρεγκεφαλονωτιαίας δεξαμενής στην ατλαντοϊνιακή περιοχή. Δευτερευόντως μπορεί να γίνει παρακέντηση στην οσφυϊκή περιοχή.

Η ανάλυση του ΕΝΥ περιλαμβάνει:

  • Κυτταρολογική εξέταση (ταυτοποίηση και μέτρηση των κυττάρων)
  • Μέτρηση ολικών πρωτεϊνών

Παρότι η πλειοκυττάρωση είναι συχνή σε περιστατικά ΜΕΜ, η κυτταρολογική εξέταση σπάνια διαφοροποιεί τις ιδιοπαθείς από τις λοιμώδεις και νεοπλασματικές νόσους.  Μερικές φορές, σε σκύλους με ΜΕΜ αγνώστου αιτιολογίες δεν ανευρίσκονται παθολογικά ευρήματα στο ΕΝΥ.

Παρόλο όλους αυτούς τους περιορισμούς, με βάση τον λευκοκυτταρικό τύπο του ΕΝΥ μπορεί να σμικρύνει ο κατάλογος των διαφορικών διαγνώσεων, ιδιαίτερα αν ο λευκοκυτταρικός τύπος του ΕΝΥ συνδυάζεται με τις σύγχρονες απεικονιστικές εξετάσεις (CT, MRI).

Σε περιστατικά με ΚΜΕ, ΝΜΕ και ΝΛΕ, στην ανάλυση του ΕΝΥ διαπιστώνεται μονοκυτταρική πλειοκυττάρωση (λεμφοκύτταρα, μονοκύτταρα, μακροφάγα (ιστιοκύτταρα)) και αύξηση των ολικών πρωτεϊνών. Στην ΜΑΑΣ διαπιστώνεται ουδετεροφιλική πλειοκυττάρωση και αύξηση των ολικών πρωτεϊνών.

Η αύξηση των ολικών πρωτεϊνών του ΕΝΥ στις ιδιοπαθείς ΜΕΜ οφείλεται στην αύξηση της διαπερατότητας του φραγμού αίματος-ΕΝΥ, στην παραγωγή ανοσοσφαιρινών μέσα στον σπονδυλικό σωλήνα ή σε αμφότερα.

Συμπερασματικά, σε όλα τα περιστατικά με νευρικά συμπτώματα που η βλάβη εντοπίζεται στον εγκέφαλο, θα πρέπει να γίνεται διαφοροποίηση μεταξύ των λοιμωδών εγκεφαλίτιδων, των άσηπτων εγκεφαλίτιδων και των νεοπλασμάτων του εγκεφάλου. Οι λοιμώδεις εγκεφαλίτιδες διαγιγνώσκονται τις περισσότερες φορές, με ορολογικές ή μοριακές εργαστηριακές εξετάσεις. Συνήθως, εκτελούνται εργαστηριακές εξετάσεις για τις λοιμώξεις, που μπορεί να εκδηλώσουν νευρικά συμπτώματα και επιληπτικές κρίσεις όπως είναι η νόσος του Καρρέ (σκύλος), η λοιμώδης περιτονίτιδα (γάτα), η τοξοπλάσμωση (σκύλος και γάτα) και η νεοσπόρωση (σκύλος).

ΣΗΜΕΙΩΣΗ ΠΡΟΣ ΤΟΥΣ ΑΝΑΓΝΩΣΤΕΣ: Εάν βρείτε λάθος σε αυτό το άρθρο, παρακαλώ στείλε mail (danourdista@gmail.com) για να διορθωθεί. Ευχαριστούμε για την υποστήριξή σας !

Κύλιση στην κορυφή