Το ενδοκρανιακό αραχνοειδές εκκόλπωμα (intracranial arachnoid diverticulum) είναι μια συγγενής αναπτυξιακή ανωμαλία του εγκεφάλου η οποία οφείλεται σε διαχωρισμό (splitting) ή διπλασιασμό της αραχνοειδούς μήνιγγας κατά την εμβρυϊκή ανάπτυξη με συνέπεια την παγίδευση εγκεφαλονωτιαίου υγρού (ΕΝΥ) και σχηματισμό εκκολπωματικής κοιλότητας.
Στην κτηνιατρική βιβλιογραφία αναφέρεται συχνά ως «ενδοκρανιακή αραχνοειδής κύστη» ή «τετραδυμική κύστη» (quadrigeminal cyst). Ωστόσο, αυτή η ορολογία δεν είναι ακριβής, καθώς η αληθής κύστη ορίζεται ως κλειστός σάκος με σαφή επιθηλιακή επένδυση. Τα χαρακτηριστικά αυτά δεν έχουν αποδειχθεί στο εκκόλπωμα. Επομένως, ο όρος «αραχνοειδές εκκόλπωμα» (arachnoid diverticulum) θεωρείται πιο ακριβής.
Το αραχνοειδές εκκόλπωμα εντοπίζεται συχνότερα στον οπίσθιο κρανιακό βόθρο, ιδιαίτερα πίσω από το σκηνίδιο της παρεγκεφαλίδας (tentorium cerebelli), και συχνά καταλαμβάνει περιοχή της παρεγκεφαλίδας και του εγκεφαλικού στελέχους.
Στοιχεία του ζώου
Το ενδοκρανιακό αραχνοειδές εκκόλπωμα μπορεί να προκαλέσει συμπτώματα σε σκύλους ηλικίας από 2 μηνών έως 10 ετών. Διαγιγνώσκονται συχνότερα σε σκύλους μικρόσωμων φυλών, ιδιαίτερα σε βραχυκεφαλικές φυλές όπως το Shih Tzu και το Pug.
Κλινικά συμπτώματα
Η κλινική εικόνα ποικίλλει. Πολλά ζώα είναι ασυμπτωματικά και το εκκόλπωμα διαγιγνώσκεται τυχαία κατά τη διάρκεια απεικονιστικού ελέγχου του εγκεφάλου για άλλους λόγους. Όταν υπάρχουν κλινικά συμπτώματα, συνήθως περιλαμβάνουν συμπτώματα προσθίου εγκεφαλικού συνδρόμου (π.χ. επιληπτικές κρίσεις) ή συμπτώματα κεντρικής αιθουσαίας και/ή παρεγκεφαλιδικής δυσλειτουργίας.
Νευρολογική εξέταση
Τα ευρήματα της νευρολογικής εξέτασης συνήθως αντιστοιχούν στην ανατομική εντόπιση του εκκολπώματος. Συχνότερα παρατηρούνται συμπτώματα παρεγκεφαλιδο-αιθουσαίας διαταραχής, όπως αταξία, κλίση κεφαλής ή νυσταγμός.
Διάγνωση
Η οριστική διάγνωση απαιτεί προηγμένες απεικονιστικές μεθόδους. Η μαγνητική τομογραφία (MRI) αποτελεί τη μέθοδο εκλογής, καθώς παρέχει λεπτομερείς πληροφορίες για το μέγεθος, την εντόπιση και την επίδραση του εκκολπώματος στις γειτονικές δομές. Η αξονική τομογραφία (CT) μπορεί επίσης να χρησιμοποιηθεί, αλλά προσφέρει μικρότερη αντίθεση των μαλακών ιστών.
Σε ζώα με παραμένουσα ανοιχτή πηγή (fontanelle) ή σε νανόμορφες φυλές, το υπερηχογράφημα μέσω της ανοιχτής πηγής ή του ινιακού τρήματος (foramen magnum) μπορεί να είναι διαγνωστικό.

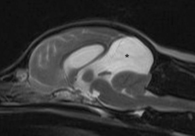
MRI ακολουθία Τ2 σκύλου με ενδοκρανιακό αραχνοειδές εκκόλπωμα *
Θεραπεία
Οι θεραπευτικές επιλογές περιλαμβάνουν τόσο συντηρητική (φαρμακευτική) όσο και χειρουργική αντιμετώπιση. Σε ασυμπτωματικές περιπτώσεις όπου το εκκόλπωμα ανευρίσκεται τυχαία, συνήθως δεν χρειάζεται καμία παρέμβαση.
Φαρμακευτική θεραπεία
Η φαρμακευτική θεραπεία στοχεύει στη μείωση της παραγωγής και του όγκου του ΕΝΥ. Οι επιλογές περιλαμβάνουν:
- Πρεδνιζόνη: 0,5 mg/kg από το στόμα κάθε 12 ώρες, με σταδιακή μείωση στη χαμηλότερη αποτελεσματική δόση
- Ομεπραζόλη: 0,7–1,0 mg/kg από το στόμα κάθε 24 ώρες
- Φουροσεμίδη: 0,5–2 mg/kg από το στόμα κάθε 12–24 ώρες
- Ακεταζολαμίδη: 10 mg/kg από το στόμα κάθε 8 ώρες
Αντιεπιληπτική αγωγή ενδείκνυται εάν ο ασθενής παρουσιάζει περισσότερες από μία κρίσεις κάθε τρεις μήνες ή σε κάθε περίπτωση επιληπτικής κατάστασης (status epilepticus) ή ομαδικών κρίσεων (cluster seizures).
Χειρουργική θεραπεία
Η χειρουργική θεραπεία ενδείκνυται όταν τα κλινικά συμπτώματα επιμένουν παρά τη φαρμακευτική αγωγή και δεν έχει εντοπιστεί άλλη υποκείμενη παθολογία. Η συχνότερη χειρουργική τεχνική είναι η τοποθέτηση κοιλιοπεριτοναϊκής παράκαμψης (ventriculoperitoneal shunt) για την παροχέτευση του ΕΝΥ στην κοιλιακή κοιλότητα.
Η σωστή επιλογή των ζώων είναι κρίσιμη, καθώς τα χειρουργικά αποτελέσματα είναι καλύτερα σε ζώα με μέτρια νευρικά ελλείμματα και ελάχιστη συμπίεση του εγκεφαλικού παρεγχύματος.
Για εκκολπώματα που εντοπίζονται πίσω από την παρεγκεφαλίδα, μπορεί να εξεταστεί η χειρουργική θυριδοποίηση (fenestration) και παροχέτευση, με ή χωρίς μαρσιποποίηση. Ωστόσο, είναι πιθανή η υποτροπή και μπορεί να απαιτηθεί επανάληψη της χειρουργικής επέμβασης ή τελικά τοποθέτηση παράκαμψης.
Πρόγνωση
Η πρόγνωση ποικίλλει και εξαρτάται από τη βαρύτητα και τη διάρκεια των κλινικών συμπτωμάτων, την εντόπιση και το μέγεθος του εκκολπώματος, καθώς και την ανταπόκριση στη θεραπεία. Τα ασυμπτωματικά ζώα μπορεί να μη χρειάζονται καμία θεραπεία. Στα ζώα που επιλέγεται η χειρουργική αντιμετώπιση συχνά παρουσιάζουν κλινική βελτίωση, αν και μπορεί να εμφανιστούν επιπλοκές όπως δυσλειτουργία ή μόλυνση της παράκαμψης.
ΣΗΜΕΙΩΣΗ ΠΡΟΣ ΤΟΥΣ ΑΝΑΓΝΩΣΤΕΣ: Εάν βρείτε λάθος σε αυτό το άρθρο, παρακαλώ στείλε mail (danourdista@gmail.com) για να διορθωθεί. Ευχαριστούμε για την υποστήριξή σας !
