Η υδροκεφαλία δεν είναι μια απλή νόσος, αλλά οφείλεται στη δυσλειτουργία ενός συνόλου πολύπλοκων παθοφυσιολογικών διεργασιών.
Σημαντική σημείωση
Ο παιδο-νευροχειρουργός Dr. Harold Rekate προτείνει τον ακόλουθο σύγχρονο ορισμό:
«Υδροκεφαλία είναι η διάταση του συστήματος των κοιλιών του εγκεφάλου, η οποία οφείλεται στην ανεπαρκή ροή του εγκεφαλονωτιαίου υγρού (ΕΝΥ) από το σημείο παραγωγής του στο σύστημα των κοιλιών έως το σημείο απορρόφησής του στη συστηματική κυκλοφορία»
Ανατομική υπόμνηση (παραγωγή, κυκλοφορία και απορρόφηση του ΕΝΥ)
Ο εγκέφαλος περιέχει κοιλότητες (κοιλίες του εγκεφάλου), οι οποίες επικοινωνούν με τον υπαραχνοειδή χώρο, που βρίσκεται μεταξύ αραχνοειδούς και χοριοειδούς μήνιγγας και τον κεντρικό σωλήνα του νωτιαίου μυελού. Εντός των χώρων αυτών κυκλοφορεί το εγκεφαλονωτιαίο υγρό (ΕΝΥ).
Οι κοιλότητες του εγκεφάλου είναι: (α) οι πλάγιες κοιλίες, (β) η τρίτη κοιλία, (γ) ο υδραγωγός του εγκεφάλου και (δ) η τέταρτη κοιλία. Η κάθε μια από τις πλάγιες κοιλίες του εγκεφάλου ευρίσκεται μέσα στο αντίστοιχο εγκεφαλικό ημισφαίριο. Οι πλάγιες κοιλίες επικοινωνούν μεταξύ τους και με τη τρίτη κοιλία με το μεσοκοιλιακό τρήμα (του Monro, interventricular foramen). Κάθε πλάγια κοιλία αποτελείται από την κεντρική ή μέση μοίρα και από δυο προσεκβολές, που ονομάζονται κέρατα της πλάγιας κοιλίας (πρόσθιο και κοιλιακό). Η τρίτη κοιλία ευρίσκεται στο διάμεσο εγκέφαλο μεταξύ των οπτικών θαλάμων και έχει συνέχεια προς τα οπίσω με τον υδραγωγό του εγκεφάλου (cerebral aqueduct, mesencephalic aqueduct) διαμέσου του οποίου επικοινωνεί με την τέταρτη κοιλία. Η τέταρτη κοιλία είναι μια ευρεία κοιλότητα ρομβοειδούς σχήματος που εντοπίζεται πάνω από τον προμήκη μυελό και τη γέφυρα και καλύπτεται ραχιαία από την παρεγκεφαλίδα. Η οπίσθια γωνία της τέταρτης κοιλίας επικοινωνεί με τον κεντρικό σωλήνα της οπίσθιας μοίρας του προμήκη μυελού, ο οποίος συνεχίζει με τον κεντρικό σωλήνα του νωτιαίου μυελού. Η τέταρτη κοιλία επικοινωνεί επίσης, με τον υπαραχνοειδή χώρο διαμέσου μικρών τρημάτων, που βρίσκονται στα πλάγια τοιχώματά της. Διαμέσου των τρημάτων αυτών το ΕΝΥ εισέρχεται στον υπαραχνοειδή χώρο των μηνίγγων.
Οι κοιλίες του εγκεφάλου και το εσωτερικό τοίχωμα του κεντρικού σωλήνα του νωτιαίου μυελού καλύπτονται από μονόστοιβο επιθήλιο (επένδυμα) που αποτελείται από κυλινδρικά νευρογλοιακά κύτταρα, που ονομάζονται επενδυματικά κύτταρα.
Το ΕΝΥ παράγεται με σταθερό ρυθμό από τα χοριοειδή πλέγματα των πλαγίων κοιλιών, της τρίτης κοιλίας και της τέταρτης κοιλίας. Τα χοριοειδή πλέγματα σχηματίζονται από τη χοριοειδή μήνιγγα που είναι πλούσια σε αγγεία (το ΕΝΥ προέρχεται από το πλάσμα του αίματος) και η εσωτερική της επιφάνεια καλύπτεται από επένδυμα. Το ΕΝΥ παράγεται μέσω μιας διεργασίας που απαιτεί ενέργεια. Η ενέργεια προέρχεται από την υδρόλυση της ATP (καρβονική ανυδράση).
Επιπρόσθετη ποσότητα ΕΝΥ παράγεται μέσω παθητικής μετακίνησης εξωκυττάριου υγρού το οποίο προέρχεται από το εγκεφαλικό παρέγχυμα και διαχέεται διαμέσου του επενδύματος των κοιλιών του εγκεφάλου προς τον υπαραχνοειδή χώρο. Τέλος, ΕΝΥ παράγεται από τα τριχοειδή των λεπτομηνίγγων (χοριοειδής και αραχνοειδής μήνιγγα) εντός του υπαραχνοειδή χώρου.
Ο ρυθμός παραγωγής του ΕΝΥ είναι περίπου 0,047 mL/min στους σκύλους και 0,017 mL/min στις γάτες.
Το ΕΝΥ κυκλοφορεί στις κοιλίες, στον υπαραχνοειδή χώρο του εγκεφάλου και του νωτιαίου μυελού και στο κεντρικό σωλήνα του νωτιαίου μυελού. Η ροή του ΕΝΥ καθοδηγείται από μια μικρή διαφορά πίεσης που προκύπτει από τις αρτηριακές παλμικές κινήσεις στα χοριοειδή πλέγματα. Από τις πλάγιες κοιλίες, το ΕΝΥ ρέει μέσω των μεσοκοιλιακών τρημάτων προς την τρίτη κοιλία, στη συνέχεια μέσω του υδραγωγού του εγκεφάλου προς την τέταρτη κοιλία. Από την τέταρτη κοιλία, το ΕΝΥ εξέρχεται κυρίως μέσω των πλάγιων τρημάτων στον υπαραχνοειδή χώρο που περιβάλλει τον εγκέφαλο και τον νωτιαίο μυελό. Μικρότερη ποσότητα εισέρχεται στον κεντρικό σωλήνα του νωτιαίου μυελού.
Το ΕΝΥ απορροφάται (αποχετεύεται) στη συστηματική φλεβική κυκλοφορία από τις αραχνοειδείς λάχνες της αραχνοειδούς μήνιγγας. Οι αραχνοειδείς λάχνες δρουν ως μονόδρομες βαλβίδες και ανοίγουν όταν η ενδοκρανιακή πίεση (ICP, πίεση του ΕΝΥ στον υπαραχνοειδή χώρο) υπερβεί τη φλεβική πίεση κατά περίπου 7–10 cm H₂O. Τότε το ΕΝΥ περνά μέσα από τις λάχνες και εκβάλλει στους φλεβώδεις κόλπους. Αν η φλεβική πίεση είναι υψηλότερη δηλαδή η διαφορά είναι μικρότερη από 7-10 cm H₂O η απορρόφηση του ΕΝΥ αναστέλλεται.
Όταν η πίεση εντός των κοιλιών του εγκεφάλου αυξάνει, η απορρόφηση αυξάνει αναλογικά, διατηρώντας την ενδοκράνια πίεση (ICP) εντός φυσιολογικών ορίων.
Μικρό ποσό ΕΝΥ αποχετεύεται στο λεμφικό σύστημα μέσω των υπαραχνοειδών διαστημάτων των περινευρικών ελύτρων δια των οποίων συγκοινωνεί ο υπαραχνοειδής χώρος με τα πέριξ λεμφαγγεία.

Ραχιαία άποψη του συστήματος των κοιλιών του εγκεφάλου.

Μέση οβελιαία τομή του συστήματος των κοιλιών του εγκεφάλου.
Ορολογία – Τύποι υδροκεφαλίας
Αποφρακτική (μη επικοινωνούσα) υδροκεφαλία (obstructive hydrocephalus): Παρατηρείται διάταση των κοιλιών λόγω εμποδίου στη ροή του ΕΝΥ
Παραδείγματα αποφρακτικής υδροκεφαλίας.
- Η μονόπλευρη απόφραξη του μεσοκοιλιακού τρήματος από όγκο χοριοειδούς πλέγματος προκαλεί κοιλιομεγαλία από την ίδια πλευρά
- Η στένωση του υδραγωγού του εγκεφάλου λόγω συγγενούς δυσπλασίας ή φλεγμονής (π.χ. λοιμώδης περιτονίτιδα της γάτας) προκαλεί διάταση της τρίτης κοιλίας και των πλάγιων κοιλιών
- Η αμφοτερόπλευρη απόφραξη των πλάγιων τρημάτων της 4ης κοιλίας προκαλεί διάταση ολόκληρου του κοιλιακού συστήματος του εγκεφάλου.
Επικοινωνούσα υδροκεφαλία (communicating hydrocephalus): Το ΕΝΥ κυκλοφορεί κανονικά στις κοιλίες αλλά δεν απορροφάται σωστά.
Αίτια:
- Μηνιγγίτιδα
- Αιμορραγία
- Φλεγμονές
Υδροκεφαλία φυσιολογικής πίεσης (normotensive hydrocephalus): Υδροκεφαλία με φυσιολογική πίεση ΕΝΥ.
Εσωτερική υδροκεφαλία (internal hydrocephalus): Συσσώρευση ΕΝΥ εντός του κοιλιακού συστήματος.
Εξωτερική υδροκεφαλία (external hydrocephalus): Συσσώρευση ΕΝΥ στον υπαραχνοειδή χώρο.
Αντισταθμιστική υδροκεφαλία (compensatory hydrocephalus): Το ΕΝΥ καταλαμβάνει περιοχές καταστροφής εγκεφαλικού παρεγχύματος π.χ. μετά από εγκεφαλικό έμφρακτο, νέκρωση εγκεφαλικού παρεγχύματος ή ατροφία του φλοιού λόγω ηλικίας.
Υπερτασική υδροκεφαλία (hypertensive hydrocephalus): Υδροκεφαλία με αυξημένη πίεση ΕΝΥ.
Συγγενής υδροκεφαλία: υπάρχει από τη γέννηση.
Επίκτητη υδροκεφαλία: Εμφανίζεται μετά τη γέννηση. Η επίκτητη υδροκεφαλία μπορεί να εμφανιστεί σε ζώα οποιασδήποτε ηλικίας.
Υδροκέφαλος «ex vacuo». Ο όρος “vacuo” (που σημαίνει “κενό” στα λατινικά) αναφέρεται σε μια κατάσταση όπου οι κοιλίες του εγκεφάλου διαστέλλονται λόγω απώλειας εγκεφαλικής ουσίας από εγκεφαλικό επεισόδιο, κρανιοεγκεφαλική κάκωση, εκφυλιστικές νόσους (π.χ. Alzheimer) ή μηνιγγίτιδα.
Ο υδροκέφαλος ex vacuo δεν απαιτεί χειρουργική επέμβαση αντιμετώπισης, σε αντίθεση με τους περισσότερους άλλους τύπους υδροκεφαλίας, όπου η λύση είναι συχνά η χειρουργική τοποθέτηση βαλβίδας. Η θεραπεία επικεντρώνεται στην αντιμετώπιση της υποκείμενης αιτίας (π.χ. διαχείριση της νόσου Alzheimer ή αποκατάσταση μετά από εγκεφαλικό επεισόδιο).
Συγγενής υδροκεφαλία – Αιτιολογία
Κάθε διαταραχή στην κυκλοφορία του εγκεφαλονωτιαίου υγρού (ΕΝΥ) μπορεί να προκαλέσει υδροκέφαλο.
Οι αιτίες που μπορεί να οδηγήσουν σε συγγενή υδροκεφαλία (υπάρχει από τη γέννηση) είναι ποικίλες
όπως :
- η αιμορραγία στις κοιλίες του εγκεφάλου που μπορεί οφείλεται σε δυστοκία
- οι διάφορες ενδομήτριες ιώσεις π.χ κορωνοϊός στις γάτες, ιός παραγρίπης στους σκύλους
- η έκθεση της μητέρας σε τερατογόνες ουσίες
- οι συγγενείς παραμορφώσεις του εγκεφάλου όπως η στένωση του υδραγωγού του εγκεφάλου, η ελλιπής απορρόφηση του ΕΝΥ στο φλεβικό σύστημα διαμέσου των αραχνοειδών λαχνών, ή οι δυσπλασίες στο μεσεγκέφαλο ‘όπως ενωμένα πρόσθια διδύμια (fused rostral colliculi)
Συγγενής υδροκεφαλία – Στοιχεία του ζώου
Η συγγενής υδροκεφαλία διαγιγνώσκεται συχνότερα σε νεαρούς σκύλους μικρόσωμων φυλών, ιδίως Chihuahua, Yorkshire Terrier, Maltese, Boston Terrier, English Bulldog, Toy και Miniature Poodle, Lhasa Apso, Pomeranian, Pug, Cairn Terrier και Pekingese.
Τα κλινικά συμπτώματα συνήθως εμφανίζονται μέσα στους πρώτους μήνες ζωής. Στις γάτες είναι λιγότερο συχνή, αλλά μπορεί να κληρονομείται ως αυτοσωμικός υπολειπόμενος χαρακτήρας, ιδιαίτερα στη φυλή Σιάμ.
Η συγγενής υδροκεφαλία είναι συνήθως αποφρακτικού τύπου.
Συγγενής υδροκεφαλία – Κλινικά συμπτώματα
Οι σκύλοι και οι γάτες με συγγενή υδροκεφαλία παρουσιάζουν, συνήθως, νευρικά συμπτώματα εντός των πρώτων 6 εβδομάδων της ζωής τους. Αναφέρεται όμως, μεγάλο ποσοστό ζώων με υδροκεφαλία που τα συμπτώματα εκδηλώνονται μετά την ενηλικίωση.
Τα χαρακτηριστικά συμπτώματα της υδροκεφαλίας είναι:
- Η αύξηση του μεγέθους του κρανίου
- Η μορφοποίηση του κρανίου σε σχήμα θόλου
- Η διάταση των ραφών και η αδυναμία κλεισίματος των πηγών (fontanelles)
- Ο αμφοτερόπλευρος κοιλιοπλευρικός στραβισμός (αποκλίνων στραβισμός). Ο στραβισμός οφείλεται στη παραμόρφωση του οφθαλμικού κόγχου και όχι στη δυσλειτουργία του αιθουσαίου συστήματος. Αναφέρεται δε, ως «σύμπτωμα ηλιοβασιλέματος» («setting sun sign”)
- Τα συμπτώματα πρπαθίου εγκεφαλικού συνδρόμου (διαταραχή της συνείδησης, διαταραχή της συμπεριφοράς, τυφλότητα, μειωμένη διαύγεια ή νωθρότητα κυκλικές κινήσεις, άσκοπη περιπλάνηση και επιληπτικές κρίσεις). Οι επιληπτικές κρίσεις δεν είναι τόσο συχνές όσον είναι οι διαταραχές της συμπεριφοράς και οι διαταραχές στη νοητική λειτουργία
- Οι αλλαγές συμπεριφοράς, συμπεριλαμβανομένης της επιθετικότητας
- Οι σκύλοι και οι γάτες με συγγενή υδροκέφαλο έχουν μειωμένο σωματικό βάρος και μικρότερο μέγεθος από το φυσιολογικό
- Ο λήθαργος ή το κώμα σε σοβαρές περιπτώσεις
Σε σκύλους με υδροκεφαλία παρατηρούνται συχνά και συνυπάρχουσες αναπτυξιακές δυσμορφίες του εγκεφάλου (π.χ. ενδοκράνια αραχνοειδής κύστη, σύνδρομο Dandy-Walker, σύνδρομο Arnold-Chiari), οι οποίες ευθύνονται για τη δυσλειτουργία της παρεγκεφαλίδας και του αιθουσαίου συστήματος.
Σε πολλές περιπτώσεις, η υδροκεφαλία είναι ασυμπτωματική και ανευρίσκεται τυχαία.

Chihuahua με συγγενή υδροκεφαλία. Διακρίνεται η μορφοποίηση του κρανίου σε σχήμα θόλου και ο αμφοτερόπλευρος αποκλίνων στραβισμός,
Συγγενής υδροκεφαλία – Διάγνωση
Η διάγνωση του συγγενή υδροκέφαλου βασίζεται στο συνδυασμό των χαρακτηριστικών κλινικών συμπτωμάτων και στην απεικόνιση της διάτασης των κοιλιών με υπερηχοτομογραφία (διαμέσου των ανοιχτών πηγών του κρανίου) ή με CT ή με MRI. Το υπερηχογράφημα μέσω ανοιχτής πηγής ή του ινιακού τρήματος είναι χρήσιμο σε μικρόσωμα ή νεαρά ζώα. Η απεικόνιση με MRI προτιμάται έναντι της CT διότι προσδιορίζεται ακριβέστερα η κατάσταση και αποκλείονται συνυπάρχουσες βλάβες.
Οι συνήθεις εργαστηριακές εξετάσεις είναι φυσιολογικές.
Η ήπια έως μέτρια κοιλιομεγαλία είναι συχνή στις βραχυκεφαλικές φυλές και παραδοσιακά θεωρείται μια καλοήθης φυσική παραλλαγή της φυλής. Ωστόσο, μια μελέτη του 2015 από τους Schmidt (Schmidt MJ et al., PLoS ONE 2015;10(5)) και τους συνεργάτες του αμφισβητεί αυτή την παραδοχή και αναφέρουν ότι:
«Οι σκύλοι βραχυκεφαλικών φυλών έχουν σημαντικά μεγαλύτερες πλάγιες κοιλίες και μειωμένο σχετικό όγκο λευκής ουσίας. Αυτό υποδηλώνει ότι η κοιλιομεγαλία σε αυτές τις φυλές δεν αποτελεί φυσιολογική παραλλαγή».

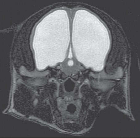
Μαγνητική τομογραφία εγκεφάλου, Τ2 προσανατολισμού, οβελιαία τομή. Απεικονίζεται συμμετρική διάταση των πλαγίων κοιλιών και της τρίτης κοιλίας λόγω συγγενούς υδροκέφαλου.
Συγγενής υδροκεφαλία – Θεραπεία
Η φαρμακευτική θεραπεία του συγγενή υδροκέφαλου έχει σκοπό τη μείωση της παραγωγής του ΕΝΥ. Για το σκοπό αυτό χορηγούνται:
- Πρεδνιζολόνη: 0,25-0,5 mg/kg, PO, κάθε 12 ώρες, στη συνέχεια γίνεται μείωση μέχρι να επιτευχθεί η χαμηλότερη αποτελεσματική δοσολογία
- Φουροσεμίδη: 0,5-2,0 mg/kg PO κάθε 12 ή 24 ώρες
- Ακεταζολαμίδη 10 mg/kg PO, κάθε 6-8 ώρες
- Ομεπραζόλη: 0,5-1,0 mg/kg PO SID
Δεν είναι απαραίτητο να χρησιμοποιηθούν όλα τα ανωτέρω φάρμακα ταυτόχρονα.
Σε ζώα με επαναλαμβανόμενες επιληπτικές κρίσεις μπορεί να χρησιμοποιηθούν αντιεπιληπτικά.
Σε μικρό αριθμό σκύλων η φαρμακευτική θεραπεία έχει ικανοποιητικά αποτελέσματα.
Η οριστική θεραπεία είναι η χειρουργική. Ο σκοπός της χειρουργικής θεραπείας είναι η συνεχής παροχέτευση του πλεονάζοντος ΕΝΥ από τις κοιλίες του εγκεφάλου είτε στην περιτοναϊκή κοιλότητα είτε στο δεξιό κόλπο της καρδιάς με τοποθέτηση ειδικών βαλβίδων (κοιλιοπεριτοναϊκή βαλβίδα ή κοιλιοκολπική βαλβίδα). Η πρόγνωση για κλινική βελτίωση των νευρολογικών συμπτωμάτων ποικίλει από 50% έως 90%.
Συγγενής υδροκεφαλία – Πρόγνωση
Η πρόγνωση της συγγενούς υδροκεφαλίας ποικίλλει και εξαρτάται από:
- Τη βαρύτητα της κοιλιομεγαλίας
- Την κλινική εικόνα
- Την παρουσία συνυπαρχουσών νευρολογικών ή συστηματικών παθήσεων
Παρότι ορισμένα ζώα επιτυγχάνουν ικανοποιητικό μακροπρόθεσμο έλεγχο, η πλήρης νευρολογική αποκατάσταση είναι σπάνια.
ΣΗΜΕΙΩΣΗ ΠΡΟΣ ΤΟΥΣ ΑΝΑΓΝΩΣΤΕΣ: Εάν βρείτε λάθος σε αυτό το άρθρο, παρακαλώ στείλε mail (danourdista@gmail.com) για να διορθωθεί. Ευχαριστούμε για την υποστήριξή σας !
