Δισχιδής ράχη ονομάζεται η ατελής σύγκλιση ενός ή περισσοτέρων σπονδυλικών τόξων. Αναφέρονται οι εξής τύποι:
Η κλειστή ή λανθάνουσα δισχιδή ράχη (spina bifida occulta), στην οποία υπάρχει οστικό έλλειμμα στην περιοχή του σπονδυλικού τόξου αλλά ο ΝΜ δεν επηρεάζεται. Η μορφή αυτή δεν προκαλεί κλινικά συμπτώματα και τις περισσότερες φορές παραμένει αδιάγνωστη.
Η ανοιχτή δισχιδής ράχη (spinal bifida aperta), στην οποία υπάρχει οστικό έλλειμμα στην περιοχή του σπονδυλικού τόξου αλλά συνοδεύεται με παραμορφώσεις στις μήνιγγες και το ΝΜ.
Οι παραμορφώσεις αυτές αναφέρονται ως :
- Μηνιγγοκήλη (meningocele), στην οποία στο σημείο του οστικού ελλείμματος του σπονδυλικού τόξου δημιουργείται σάκος που προβάλει κάτω από το δέρμα προς τους ραχιαίους μύες του κορμού. Ο σάκος μπορεί να εκτείνεται ραχιαία μέχρι το δέρμα και περιέχει μήνιγγες και ΕΝΥ. Άλλες φορές είναι κλειστός (spina bifida cystica) και άλλες επικοινωνεί με το δέρμα και διαμέσου του ρέει ΕΝΥ (spina bifida aperta). Η λειτουργία του ΝΜ, εφόσον αυτός δεν προβάλλει στο σάκο, δεν επηρεάζεται.
- Μυελομηνιγγοκήλη (meningomyelocele), στην οποία διαμέσου του οστικού ελλείμματος προέχει τμήμα των μηνίγγων μαζί με νεύρα ή τμήμα του ΝΜ. Η μυελομηνιγγοκήλη συνοδεύεται με νευρικά συμπτώματα. Οι νευρικές δομές που περιέχονται σε αυτή συχνά υφίστανται μυελοδυσπλασία (παραμόρφωση του ΝΜ). Παράδειγμα μυελοδυσπλασίας είναι η μυελόσχιση, που οφείλεται σε αδυναμία κλεισίματος του νευρικού σωλήνα με αποτέλεσμα δημιουργία σχισμής στη ραχιαία επιφάνεια του ΝΜ σε συνδυασμό με δισχιδή ράχη.
Στοιχεία ζώου
Η δισχιδής ράχη (spina bifida) έχει αναφερθεί σε διάφορες φυλές σκύλων και γάτων. Παρατηρείται συχνότερα στα English Bulldogs και στις γάτες Manx.
Νευρολογική εξέταση
Τα κλινικά συμπτώματα ποικίλλουν ανάλογα με τη θέση και τη σοβαρότητα της δυσπλασίας. Ορισμένα ζώα είναι ασυμπτωματικά, εμφανίζοντας μόνο ένα δερματικό εντύπωμα πάνω από τη βλάβη.
Σε συμπτωματικά ζώα και κυρίως όταν η βλάβη είναι στην οσφυοϊερή μοίρα του ΝΜ επικρατούν συμπτώματα κατώτερου κινητικού νευρώνα. Οι πάσχοντες σκύλοι συχνά παρουσιάζουν ακράτεια ούρων και/ή κοπράνων λόγω συμμετοχής και των ιερών νεύρων.
Διάγνωση
Απλές ακτινογραφίες της σπονδυλικής στήλης, ιδιαίτερα σε κοιλιοραχιαίες (ventrodorsal) λήψεις, μπορεί να δείξουν απουσία ή δυσμορφία των ακανθωδών αποφύσεων.
Η αξονική τομογραφία (CT) παρέχει εξαιρετική λεπτομέρεια της οστικής αρχιτεκτονικής και βοηθά στον χαρακτηρισμό των σπονδυλικών δυσμορφιών.

Τρισδιάστατη ανασύνθεση από CT (νευροτόμια Ο3 – ιερό) νεαρού English Bulldog με δισχιδή ράχη. Σημειώστε την ατελή σύγκλειση των ακανθωδών αποφύσεων των Ο6, Ο7 και του ιερού.
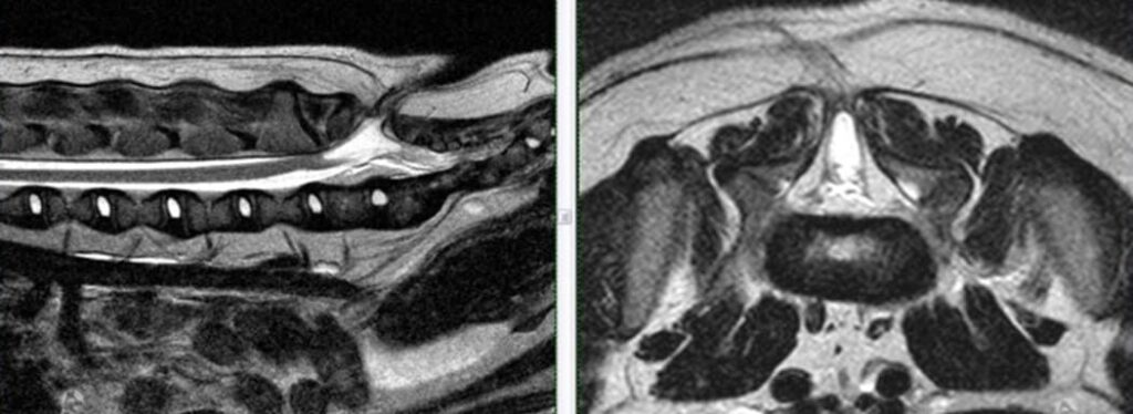
Η μαγνητική τομογραφία (MRI) είναι πιο ευαίσθητη στον εντοπισμό σχετιζόμενων ανωμαλιών των μαλακών μορίων, όπως μηνιγγοκήλης ή μηνιγγομυελοκήλης.

Οβελιαίες και εγκάρσιες Τ2-ακολουθίες στο επίπεδο του μεσοσπονδύλιου διαστήματος Ο7–Ι1 νεαρού English Bulldog με δισχιδή ράχη.
Θεραπεία
Σε ζώα με κλειστή ή λανθάνουσα δισχιδή ράχη (spina bifida occulta) ενδέχεται να μην χρειάζεται χειρουργική θεραπεία. Η αντιμετώπιση εστιάζεται στην υποστηρικτική αγωγή, η οποία περιλαμβάνει αναλγησία, κένωση ουροδόχου κύστης με εξωτερική πίεση ή καθετηριασμό, καθώς και αντιμετώπιση της ακράτειας ούρων και κοπράνων.
Η χειρουργική θεραπεία μπορεί να ενδείκνυται σε περιπτώσεις με σημαντική νευρολογική δυσλειτουργία. Η απόφαση για χειρουργείο εξαρτάται από τον τύπο της βλάβης, τον βαθμό νευρικής συμμετοχής και τη σοβαρότητα των κλινικών σημείων.
Πρόγνωση
Η πρόγνωση ποικίλλει ανάλογα με τον τύπο της δισχιδούς ράχης και τη σοβαρότητα των νευρολογικών ελλειμμάτων.
ΣΗΜΕΙΩΣΗ ΠΡΟΣ ΤΟΥΣ ΑΝΑΓΝΩΣΤΕΣ: Εάν βρείτε λάθος σε αυτό το άρθρο, παρακαλώ στείλε mail (danourdista@gmail.com) για να διορθωθεί. Ευχαριστούμε για την υποστήριξή σας !
