Ο ημισπόνδυλος (hemivertebrae) προκύπτει όταν ένας σπόνδυλος αντί για το φυσιολογικό κυλινδρικό σχήμα έχει σχήμα σφήνας (wedge – shaped vertebrae) λόγω ασύμμετρης ανάπτυξης.
Το σχήμα σφήνας του ημισπόνδυλου οφείλεται σε απλασία της κοιλιακής μοίρας του σπονδυλικού σώματος (δημιουργία «ραχιαίου ημισπόνδυλου», dorsal hemivertebra). Οι ραχιαίοι ημισπόνδυλοι προκαλούν κύφωση (ραχιαία κυρτότητα της ΣΣ, καμπούρα), η οποία εκτιμάται καλύτερα σε πλάγια ακτινογραφήματα της ΣΣ.
Ο σφηνοειδής σπόνδυλος με την κορυφή κοιλιακά (ventral wedge-shaped vertebra) οφείλεται σε υποπλασία της κοιλιακής μοίρας του σπονδυλικού σώματος.
Η απλασία της κοιλιο-πλευρικής μοίρας του σπονδυλικού σώματος οδηγεί σε πλάγιο ημισπόνδυλο. (dorsolateral hemivertebra). Η δυσπλασία αυτή προκαλεί κυφωσκολίωση (εστιακή ραχιαία σε συνδυασμό με πλάγια κυρτότητα της ΣΣ). Η πλάγια κυρτότητα απεικονίζεται σε ραχιαία προβολή.


Κλινικά χαρακτηριστικά
Οι ημισπόνδυλοι και οι «σπόνδυλοι δίκην πεταλούδας» είναι σχετικά συχνές συγγενείς ανωμαλίες των σπονδύλων στους σκύλους. Μπορεί να συνοδεύονται με διαφόρου βαθμού κύφωση και σκολίωση. Οι συγγενείς αυτές ανωμαλίες παρατηρούνται συχνότερα σε βραχυκεφαλικές φυλές με «σπειροειδή ουρά» (screw -tailed), όπως τα English bulldog, French bulldog, Boston terrier και Pug. Θεωρείται ότι η ελικοειδής ουρά σε αυτές τις φυλές οφείλεται σε ημισπόνδυλο στην κοκκυγική μοίρα της ΣΣ (το χαρακτηριστικό αυτό θεωρείται ελκυστικό για τις φυλές αυτές!!!). Οι δυσμορφίες αυτές των σπονδύλων μπορεί να παρατηρηθούν και σε άλλες μικρόσωμες (πχ Yorkshire terrier, West Highland white terrier Dachshund, Pekingese, Chihuahua, Maltese) ή μεγαλόσωμες φυλές (πχ Doberman pincher, German shorthair pointer).
Οι ημισπόνδυλοι και οι «σπόνδυλοι δίκην πεταλούδας» παρατηρούνται συχνότερα στη μέση και οπίσθια θωρακική μοίρα της ΣΣ (συνήθως μεταξύ Θ6 και Θ9 σπονδύλων). Συχνά, αποτελούν τυχαίο ακτινολογικό εύρημα χωρίς τα προσβεβλημένα ζώα να παρουσιάζουν νευρικά συμπτώματα.
Τα νευρικά συμπτώματα οφείλονται στη στένωση του σπονδυλικού σωλήνα και τη στατική συμπίεση που μπορεί να προκαλέσει η παραμόρφωση της ΣΣ. Η παραμόρφωση της ΣΣ μπορεί να δημιουργήσει επίσης αστάθεια μεταξύ των σπονδύλων προκαλώντας οξεία ή επαναλαμβανόμενη κάκωση στο ΝΜ, λόγω δυναμικής συμπίεσης.
Στο ιστορικό των περισσότερων σκύλων με παραμόρφωση των θωρακικών σπονδύλων αναφέρεται χρόνια εμφάνιση προοδευτικά επιδεινούμενης παραπάρεσης με διατήρηση της ικανότητας βαδίσματος και αταξία στα οπίσθια άκρα. Τα συμπτώματα αυτά μπορεί να παρουσιάζουν εξάρσεις και υφέσεις και μπορεί να εμφανιστούν από την ηλικία του 1 έτους. Σπάνια, μπορεί να παρατηρηθούν συμπτώματα οξείας θωρακοσφυϊκής μυελοπάθεια (νευροτόμια Θ3-Ο3) με παραπάρεση χωρίς την ικανότητα βαδίσματος ή παραπληγία. Συνήθως, διαπιστώνεται υπεραισθησία στη ψηλάφηση της ΣΣ στη περιοχή της παραμόρφωσης. Πρέπει να σημειωθεί ότι στις φυλές που έχουν προδιάθεση για κύφωση/κυφωσκολίωση παρατηρείται συχνά δισκοπάθεια τύπου Ι και θα πρέπει να διαχωρίζονται αυτές οι δυο παθολογικές καταστάσεις.

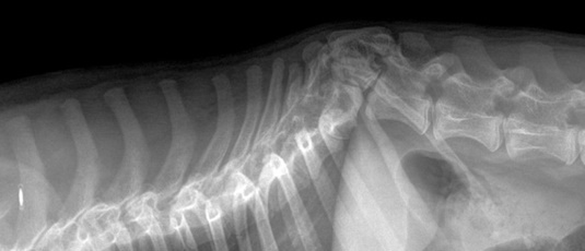
Κοιλιακή υποπλασία του σώματος του Θ8 σπονδύλου (σφηνοειδής σπόνδυλος με κορυφή κοιλιακά)

Πλάγιο ακτινογράφημα ΣΣ. Ο Θ13 είναι ραχιαίος ημισπόνδυλος ή σφηνοειδής σπόνδυλος με την κορυφή κοιλιακά.
Διάγνωση
Η διάγνωση στις περισσότερες συγγενείς ανωμαλίες των σπονδύλων μπορεί να γίνει με απλές ακτινογραφίες. Η MRI δίδει επιπρόσθετες πληροφορίες σχετικά με την εντόπιση και το βαθμό συμπίεσης του ΝΜ και με τις πιθανές συνυπάρχουσες ανωμαλίες όπως είναι για παράδειγμα η συριγγομυελία ή η αραχνοειδής κύστη.
Οι πρωτογενείς ανωμαλίες που αφορούν μαλακούς ιστούς όπως η μυελομηνιγγοκήλη και το ραχιαίο δερματικό συρίγγιο (dermal sinus) απεικονίζονται καλύτερα με MRI. Σε πολλές περιπτώσεις η MRI και η CT αλληλοσυμπληρώνονται για να δώσουν διαφορετικού τύπου σημαντικές πληροφορίες.
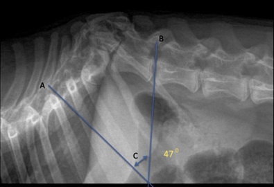
Η παραμόρφωση των σπονδύλων και ο βαθμός της κύφωσης και της σκολίωσης μπορεί να εκτιμηθούν με απλές ακτινογραφίες της ΣΣ σε πλάγια και κοιλιο-ραχιαία προβολή, αντίστοιχα. Η σκολίωση δεν συνοδεύεται με νευρολογική δυσλειτουργία, αλλά η γωνία κυρτότητας της κύφωσης έχει συνάρτηση με τη νευρολογική λειτουργία.
Ο βαθμός κυρτότητας της ΣΣ που συνοδεύει τον ή τους σπονδύλους με παραμόρφωση υπολογίζεται μετρώντας τη γωνία Cobb. Η γωνία Cobb προκύπτει από τη διχοτόμηση δύο γραμμών: η μια διέρχεται από τη πρόσθια πλευρά του τμήματος με τη κύφωση και η άλλη από την οπίσθια. Σύμφωνα με μια μελέτη οι περισσότεροι σκύλοι με νευρολογική δυσλειτουργία είχαν γωνία Cobb μεγαλύτερη από 350. Οι απλές ακτινογραφίες δίνουν πληροφορίες για την παραμόρφωση των σπονδύλων αλλά δεν δίνουν πληροφορίες για τη συμπίεση του ΝΜ ή για την παρουσία άλλων αλλοιώσεων (πχ συριγγομυελία, αραχνοειδής κύστη). Η MRI αποτελεί την απεικονιστική μέθοδο επιλογής διότι δίνει πληροφορίες που αφορούν το παρέγχυμα του ΝΜ.

Γωνία Cobb 470
Συντηρητική θεραπεία
Η συντηρητική θεραπεία συνίσταται στη χορήγηση φαρμάκων που αναφέρονται στον κατωτέρω πίνακα.
| Κατηγορία φαρμάκων | Δοσολογία |
| Πρεδνιζολόνη | 0.5 mg/kg PO Q12–24 h, taper |
| Gabapentin | 10–60 mg/kg/ημέρα PO ολική ημερήσια δόση που χωρίζεται ανά 8–12 ώρες (γίνεται έναρξη με 10 mg/kg ανά 8ωρο και αυξάνεται η σταδιακά μέχρι να επιτευχθεί το επιθυμητό αποτέλεσμα). |
| Pregabalin | 2–4 mg/kg PO ανά 8ωρο (γίνεται έναρξη με 2 mg/kg και αυξάνεται η σταδιακά μέχρι να επιτευχθεί το επιθυμητό αποτέλεσμα). |
| Amantadine (Symmetrel soft caps 100 mg) | Ανταγωνιστής των υποδοχέων NMDA. Η διέγερση των υποδοχέων αυτών που κατανέμονται στον εγκέφαλο και τον ΝΜ συνεισφέρει στην ανάπτυξη υπεραλγησίας και χρόνιου πόνου 3-5 mg/kg/24h. Η δράση εμφανίζεται μετά από 7-14 ημέρες. Μπορεί να συνδυαστεί με ένα μη στεροειδές αντιφλεγμονώδες. Η θεραπεία μπορεί να διαρκέσει για εβδομάδες ή μήνες |
Χειρουργική θεραπεία
Σε περιπτώσεις βαριάς επιδεινούμενης μυελοπάθειας που προκαλεί νευρολογική δυσλειτουργία πρέπει να προγραμματίζεται χειρουργική θεραπεία ανεξάρτητα από την ηλικία του ζώου. Σε νεαρούς σκύλους που διατηρούν την ικανότητα βάδισης συνιστάται ο προγραμματισμός της χειρουργικής θεραπείας μετά την ηλικία των 9 μηνών (ηλικία που σταματά η ανάπτυξη των σπονδύλων).

Κοιλιοραχιαίο και πλάγιο ακτινογράφημα που δείχνει τη σπονδυλοδεσία στη θωρακική μοίρα της ΣΣ σε σκύλο με ημισπόνδυλο.
Οι σκοποί της χειρουργικής θεραπείας είναι:
- Η ανακούφιση του ΝΜ από τη συμπίεση στην περιοχή της κύφωσης, η οποία επιτυγχάνεται με ραχιαία πεταλεκτομή, ημιπεταλεκτομή ή μερική εκτομή του σπονδυλικού σώματος (corpectomy). Στις περισσότερες εργασίες αναφέρεται ότι η απόφαση ή όχι για αποσυμπίεση εξαρτάται βασικά από την προτίμηση του χειρουργού παρά από το βαθμό συμπίεσης του ΝΜ.
- Η ακινητοποίηση του παθολογικού τμήματος της ΣΣ (σπονδυλοδεσία), διότι θεωρείται ότι υφίσταται αστάθεια μεταξύ των μη φυσιολογικών σπονδύλων σε σκύλους που παρουσιάζουν νευρολογικά ελλείμματα.
Οι δυο βασικές τεχνικές ακινητοποίησης (σπονδυλοδεσίας) του τμήματος της ΣΣ που παρουσιάζει κύφωση (λόγω ραχιαίου ημισπόνδυλου) είναι :
- Η τοποθέτηση ήλων Steinmann παράλληλα και εκατέρωθεν της ΣΣ και η σταθεροποίησή τους με ορθοπεδικό σύρμα και/η ράμματα στις ακανθώδεις αποφύσεις (spinal stapling).
- Η εισαγωγή ήλων στο σώμα των σπονδύλων και η μεταξύ τους σύνδεση και σταθεροποίηση με polymethylmetacrylate (pins with PMMA). Η εισαγωγή ήλων στο σώμα δυσπλαστικών σπονδύλων είναι δύσκολη. Συνήθως υφίσταται μόνο μια μικρή δίοδος για την εισαγωγή των ήλων. Ένα λάθος στην κατεύθυνση του ήλου μπορεί να οδηγήσει σε ανεπαρκή οστική κάλυψη ή την είσοδο στο σπονδυλικό σωλήνα.
Σε δύο μελέτες (Aikawa T. et al., 2007 & Jeffery et al. 2007) αναφέρονται συνολικά 12 σκύλοι μικρόσωμων φυλών που χειρουργήθηκαν με το συνδυασμό ήλων / PMMA. Οι μελέτες αυτές δείχνουν πως τα περιστατικά που αντιμετωπίστηκαν μόνο με σπονδυλική σταθεροποίηση (σπονδυλοδεσία) είχαν εξίσου καλά αποτελέσματα στην μακροχρόνια κλινική εικόνα συγκριτικά με τα περιστατικά που χειρουργήθηκαν με συνδυασμό ήλων /PMMA και αποσυμπίεσης.
Και οι δύο τεχνικές ακινητοποίησης μπορεί να συνδυαστούν με ή χωρίς αποσυμπίεση.
Οι χειρουργικές τεχνικές ακινητοποίησης της ΣΣ με ή χωρίς αποσυμπίεση σε σκύλους με ημισπόνδυλο και ήπια έως μέτρια νευρολογικά ελλείμματα έχουν ικανοποιητική πρόγνωση.

Ήλοι με θετικό σπείρωμα έχουν εισαχθεί στον Θ6, Θ7 και Θ8 και έχουν συνδεθεί μεταξύ τους με PMMA σε σκύλο με ημισπόνδυλο.
Χειρουργική τεχνική σπονδυλοδεσίας με ήλους Steinmann
Τομή του δέρματος στη ραχιαία μέση γραμμή
Αμφοτερόπλευρη ραχιαία προσπέλαση στη θωρακική μοίρα της ΣΣ διαφυλάττοντας τον υπερακάνθιο σύνδεσμο, τους μεσακάνθιους συνδέσμους και τις οπίσθιες αρθρικές αποφύσεις.
Μα αποκολλητή περιοστέου απομακρύνονται οι μύες από της ακανθώδεις αποφύσεις (συνήθως 6-13).
Οι ήλοι Steinmann διατρυπούν ή διέρχονται από το πλάι των ακανθωδών αποφύσεων του πιο οπίσθιου και πιο πρόσθιου σπονδύλου που περιλαμβάνεται στην ακινητοποίηση.
Αποκαλύπτεται το σπονδυλικό τόξο.
Το μέγεθος, μήκος και ο αριθμός των ήλων Steinmann εξαρτάται από το μέγεθος του ζώου και στην ακτινογραφική απεικόνιση.
Το ορθοπεδικό σύρμα προσφύεται στις ακανθώδεις αποφύσεις.
Μπορεί να χρησιμοποιηθεί ράμμα polypropylene (Prolen) σε συνδυασμό με το ορθοπαιδικό σύρμα.
ΣΗΜΕΙΩΣΗ ΠΡΟΣ ΤΟΥΣ ΑΝΑΓΝΩΣΤΕΣ: Εάν βρείτε λάθος σε αυτό το άρθρο, παρακαλώ στείλε mail (danourdista@gmail.com) για να διορθωθεί. Ευχαριστούμε για την υποστήριξή σας !
