Οι ονομασίες στα Αγγλικά για τις κύστεις των αποφυσιακών αρθρώσεων των σπονδύλων είναι: extradural spinal juxtafacetcysts, ganglion cysts, intraspinal synovialcysts, and degenerative intraspinal cysts
Τα τελευταία χρόνια, λόγω της συχνής χρήσης στην κλινική πράξη των απεικονιστικών τεχνικών της μαγνητικής και αξονικής τομογραφίας, αποκαλύπτονται συχνά κύστεις στις αποφυσιακές αρθρώσεις ή στο ΝΜ. Παρότι, τις περισσότερες φορές αποτελούν τυχαία απεικονιστικά ευρήματα, υπάρχουν περιπτώσεις που μπορεί να προκαλέσουν νευρικά συμπτώματα συμπιεστικής μυελοπάθειας (πάρεση, αταξία, σπονδυλικό και ριζιτικό πόνο). Συνήθως, συνυπάρχουν με άλλες συγγενείς η επίκτητες μυελοπάθειες ή παθήσεις των σπονδύλων. Σε αυτή την περίπτωση και εφόσον το ζώο παρουσιάζει νευρικά συμπτώματα, θα πρέπει να αποσαφηνίζεται η υπεύθυνη για τα νευρικά συμπτώματα πάθηση.
Η οστεοαρθρίτιδα στις αποφυσιακές αρθρώσεις δυο γειτονικών σπονδύλων και κυρίως η επακόλουθη αστάθεια μεταξύ τους, μπορεί να προκαλέσουν την πρόπτωση του αρθρικού υμένα (synovial membrane) διαμέσου ελλείμματος του αρθρικού θυλάκου (joint capsule) και τη δημιουργία παρα-αρθρικής κύστης γεμάτης με αρθρικό υγρό. Στην περίπτωση που η κύστη αυτή διογκωθεί, μπορεί να προκαλέσει εξωσκληρίδια συμπίεση στο ΝΜ.
Οι κύστεις των αποφυσιακών αρθρώσεων διαιρούνται σε δύο κατηγορίες:
(α) Τις αρθρικές, που η εσωτερική τους επιφάνεια καλύπτεται από αρθρικό υμένα και πληρούνται με αρθρικό υγρό
(β) τις γαγγλιακές, που δεν έχουν αρθρικό υμένα και περιέχουν βλεννώδες υλικό
Οι κύστεις των αποφυσιακών αρθρώσεων εμφανίζονται συχνότερα στην οπίσθια αυχενική και στην οσφυοϊερή μοίρα του ΝΜ, επειδή στα σημεία αυτά παρατηρείται συχνότερα αστάθεια μεταξύ δυο παρακειμένων σπονδύλων.
Προσβάλλονται κυρίως νεαροί σκύλοι μεγαλόσωμων φυλών που πάσχουν από αυχενική σπονδυλομυελοπάθεια οστικού τύπου (osseous form) ή σύνδρομο Wobbler και η κατανομή τους αντικατοπτρίζει τα σημεία της οστικής συμπίεσης του ΝΜ. Σύμφωνα με δυο μελέτης ένα ποσοστό σκύλων 20% με σύνδρομο Wobbler έχει κύστεις στις αποφυσιακές αρθρώσεις.
| *Lipsitz D, Levitski RE, Chauvet AE, et al. Magnetic resonance imaging features of cervical stenotic myelopathy in 21 dogs. Vet Radiol Ultrasound 2001;42(1): 20–7. *Martin-Vaquero P, da Costa RC. Magnetic resonance imaging features of Great Danes with and without clinical signs of cervical spondylomyelopathy. J Am Vet Med Assoc 4;245(4):393–400. |
Υπάρχουν αναφορές για μεγαλόσωμες φυλές σκύλων με συμπτώματα θωρακοσφυϊκού συνδρόμου (Θ3-Ο3 νευροτόμια), που οφείλονται στη δημιουργία αποφυσιακών κύστεων στους θωρακοσφυϊκούς σπονδύλους.

Κύστη αποφυσιακής άρθρωσης που οφείλεται σε εκφύλιση της άρθρωσης. Η κύστη συμπιέζει την κινητική ρίζα του νωτιαίου νεύρου.
Τα κλινικά συμπτώματα είναι ανάλογα με την εντόπιση της αποφυσιακής κύστης. Η διάγνωση γίνεται με MRI, στην οποία απεικονίζονται ως καλώς περιγεγραμμένες εξωσκληρίδιες κύστεις σε μια ή σε αμφότερες τις πλευρές του σπονδυλικού σωλήνα πλησίον των αποφυσιακών αρθρώσεων. Οι αποφυσιακές κύστεις έχουν σήμα υψηλής έντασης στην ακολουθία Τ2 και σήμα ποικίλης έντασης στην ακολουθία Τ1.

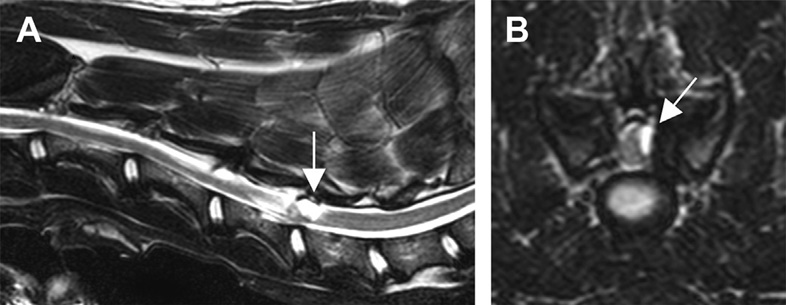
Εξωσκληρίδια κύστη αποφυσιακής άρθρωσης μεταξύ Α5-Α6. Α. Οβελιαία τομή του ΝΜ Β. Εγκάρσια τομή του ΝΜ.
Θεραπεία
Η θεραπεία είναι χειρουργική.
Στην περίπτωση αυχενικής κύστης, η αποσυμπιεστική θεραπεία γίνεται συνήθως στον ίδιο χρόνο με την αποσυμπιεστική θεραπεία που εφαρμόζεται για την αυχενική σπονδυλομυελοπάθεια (π.χ. ραχιαία πεταλεκτομή ή ημιπεταλεκτομή).
Όταν πρόκειται για οσφυοϊερή κύστη η αποσυμπιεστική θεραπεία γίνεται ταυτόχρονα με την αποσυμπιεστική θεραπεία της εκφυλιστικής οσφυοϊερής στένωσης.
Πριν από τη χειρουργική θεραπεία προτείνεται δοκιμαστική συντηρητική θεραπεία με μείωση της κινητικής δραστηριότητας και χορήγηση μη στεροειδών αντιφλεγμονωδών φαρμάκων ή κορτιζόνης.
ΣΗΜΕΙΩΣΗ ΠΡΟΣ ΤΟΥΣ ΑΝΑΓΝΩΣΤΕΣ: Εάν βρείτε λάθος σε αυτό το άρθρο, παρακαλώ στείλε mail (danourdista@gmail.com) για να διορθωθεί. Ευχαριστούμε για την υποστήριξή σας!
