Η έξοδος ενυδατωμένου πηκτοειδούς πυρήνα (Hydrated Nucleus Pulposus Extrusion, HPNE) είναι μια πάθηση του νωτιαίου μυελού που αναφέρεται ολοένα και συχνότερα στην κτηνιατρική βιβλιογραφία αρχίζοντας από το 2008. Η πάθηση χαρακτηρίζεται από ποικίλου βαθμού συμπίεση του νωτιαίου μυελού, που προκαλείται από ενυδατωμένο εξωσκληρίδιο υλικό ή υλικό από ενυδατωμένο πηκτοειδή πυρήνα.
Η ορολογία για την πάθηση έχει εξελιχθεί με την πάροδο του χρόνου. Αν και οι παρατηρούμενες αλλοιώσεις έχουν αναφερθεί στην κτηνιατρική βιβλιογραφία ως «δισκικές κύστεις» (discal cyst) λόγω της ομοιότητάς τους με τις αντίστοιχες βλάβες στους ανθρώπους, αυτή η ονομασία θεωρείται ακατάλληλη διότι στους σκύλους δεν έχει εντοπιστεί πραγματικό τοίχωμα ή κάψα κύστης, γεγονός που καθιστά τον όρο «κύστη» λανθασμένο.
Κλινικά συμπτώματα
Το ιστορικό της HNPE διαφέρει από εκείνο της οξείας μη-συμπιεστικής εξόδου πηκτοειδούς πυρήνα (acute noncompressive nucleus pulposus extrusion, ANNPE) καθώς η HNPE σχετίζεται σπάνια με τραύμα ή άσκηση σε σύγκριση με την ANNPE.
Η αυχενική μοίρα του ΝΜ είναι η συχνότερα αναφερόμενη εντόπιση για HNPE με συνέπεια τη πρόκληση ποικίλου βαθμού τετραπάρεσης έως τετραπληγίας. HNPE στην θωρακοσφυϊκή μοίρα έχει επίσης παρατηρηθεί αλλά λιγότερο συχνά.
Η εκδήλωση πόνου στη ψηλάφηση της ΣΣ μπορεί να υπάρχει, αλλά παρατηρείται λιγότερο συχνά σε σχέση με άλλες συμπιεστικές μυελοπάθειες.
Διάγνωση
Η μαγνητική τομογραφία (MRI) αποτελεί την προτιμώμενη διαγνωστική μέθοδο για την HPNE.
Η αξονική τομογραφία (CT) αποτελεί μια εναλλακτική διαγνωστική επιλογή όταν η MRI δεν είναι διαθέσιμη. Σε μία μικρή μελέτη, η CT εντόπισε επιτυχώς βλάβες HNPE σε 10 από 11 σκύλους. Τα χαρακτηριστικά ευρήματα της CT περιλαμβάνουν σαφώς περιγεγραμμένες υποπυκνωτικές αλλοιώσεις με περιφερική ενίσχυση μετά τη χορήγηση σκιαγραφικού.

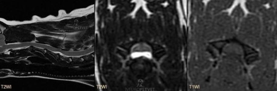
MRI από σκύλο με οξείας εμφάνιση τετραπάρεσης με αδυναμία βάδισης και αταξία λόγω HNPE στο επίπεδο των νευροτομίων Α4–Α5. Στην MRI απεικονίζονται τα τυπικά χαρακτηριστικά της HNPE που είναι: Η συμπίεση του νωτιαίου μυελού πάνω από μεσοσπονδύλιο δίσκο. Σε εγκάρσιες τομές, το υλικό συχνά παρουσιάζει δίλοβο περίγραμμα ή «σαν φτερά γλάρου» μορφή, η οποία θεωρείται χαρακτηριστική. Η εμφάνιση με δίλοβο περίγραμμα οφείλεται στην παρουσία του μηνιγγοσπονδυλικού συνδέσμου που χωρίζει το υλικό. Το υλικό εμφανίζεται συνήθως με ομοιογενή αύξηση σήματος στις Τ2 ακολουθίες, ενώ παραμένει με ίση ένταση σήματος στις Τ1 ακολουθίες. Ο σκύλος ανάρρωσε πλήρως μετά από κοιλιακή αποσυμπίεση (ventral slot) στο μεσοσπονδύλιο διάστημα Α4-Α5.
Θεραπεία
Οι θεραπευτικές επιλογές για την HNPE περιλαμβάνουν τόσο τη συντηρητική (φαρμακευτική) όσο και τη χειρουργική αντιμετώπιση.
Η συντηρητική αντιμετώπιση μπορεί να είναι κατάλληλη για ασθενείς που παρουσιάζουν ήπια έως μέτρια συμπίεση του νωτιαίου μυελού ή ήπια κλινικά συμπτώματα. Η χειρουργική αποσυμπίεση συνήθως συνιστάται για ασθενείς με μέτρια έως σοβαρά νευρολογικά ελλείμματα (π.χ. τετραπληγία, σκύλοι με αναπνευστική δυσχέρεια), επιδείνωση των κλινικών συμπτωμάτων μετά από 24 ώρες ή αποτυχία εμφάνισης βελτίωσης μέσα σε 2–3 ημέρες.
Κλινικοί ερευνητές στο Πανεπιστήμιο Κτηνιατρικής στο Αννόβερο της Γερμανίας παρουσίασαν τα ευρήματα μιας αναδρομικής μελέτης σκύλων που αντιμετωπίστηκαν συντηρητικά έναντι σκύλων που αντιμετωπίστηκαν χειρουργικά για HNPE (Nessler et al., J Vet Intern Med, 2018).
Σε αυτή τη μελέτη, οι συγγραφείς διέγνωσαν 36 σκύλους με HNPE, από τους οποίους στους 18 έγινε συντηρητική θεραπεία και στους άλλους 18 έγινε χειρουργική αποσυμπίεση.
Λειτουργική αποκατάσταση σημειώθηκε σε 33 σκύλους, με μέσο χρόνο αποκατάστασης 6,6 ημέρες για αυτούς που αντιμετωπίστηκαν χειρουργικά και 5,9 ημέρες για αυτούς που αντιμετωπίστηκαν συντηρητικά. Τρεις σκύλοι πέθαναν εντός 4 ημερών (δύο υπέστησαν καρδιοαναπνευστική ανακοπή στο χειρουργικό τραπέζι αμέσως μετά την ολοκλήρωση της επέμβασης, ένας σκύλος που αντιμετωπίστηκε συντηρητικά υπέστη καρδιοπνευμονική ανακοπή 4 ημέρες μετά την MRI και θανατώθηκε κατόπιν επιθυμίας του ιδιοκτήτη).
Τα αποτελέσματα ήταν παρόμοια με εκείνα προηγούμενης δημοσίευσης (Borlace et al., Vet Rec 2017), η οποία έδειξε ότι η συντηρητική αντιμετώπιση σκύλων με HNPE έχει παρόμοια θεραπευτικά αποτελέσματα με τη χειρουργική αποσυμπίεση.
Πρόγνωση
Η πρόγνωση για ανάρρωση φαίνεται να είναι από καλή έως εξαιρετική, ανεξάρτητα από τον τρόπο θεραπείας. Αρκετές αναφορές έχουν δείξει υποχώρηση του συμπιεστικού υλικού σε επανεξέταση απεικόνισης σε σκύλους που αντιμετωπίστηκαν συντηρητικά. Η μη χειρουργική αντιμετώπιση φαίνεται να αποτελεί βιώσιμη επιλογή, αν και η χειρουργική επέμβαση μπορεί να είναι απαραίτητη εάν τα κλινικά σημεία επιδεινώνονται ή δεν αρχίσουν να βελτιώνονται μέσα σε 3–5 ημέρες.
ΣΗΜΕΙΩΣΗ ΠΡΟΣ ΤΟΥΣ ΑΝΑΓΝΩΣΤΕΣ: Εάν βρείτε λάθος σε αυτό το άρθρο, παρακαλώ στείλε mail (danourdista@gmail.com) για να διορθωθεί. Ευχαριστούμε για την υποστήριξή σας !
