Συγγενείς Ανωμαλίες Σπονδύλων

Οι συχνότερες συγγενείς ανωμαλίες (ή αναπτυξιακές δυσπλασίες) των σπονδύλων είναι:

  • Ημισπόνδυλοι (hemivertebrae) ή σφηνοειδείς σπόνδυλοι (wedge-shaped vertebrae, cuneiform vertebrae)
  • Σπόνδυλοι δίκην πεταλούδας (butterfly vertebrae)
  • Συνενωμένοι σπόνδυλοι (block vertebrae)
  • Βραχύσωμοι σπόνδυλοι (short vertebrae)
  • Μεταβατικοί σπόνδυλοι (transitional vertebrae)
  • Ατλαντοαξονική αστάθεια (atlantoaxial instability)
  • Δισχιδής ράχη (spina bifida)

Οι συγγενείς ανωμαλίες των σπονδύλων παρατηρούνται κυρίως στη θωρακοσφυϊκή μοίρα μικρόσωμων φυλών σκύλων. Τις περισσότερες φορές είναι ασυμπτωματικές. Μερικές φορές, μπορεί να προκαλέσουν αστάθεια μεταξύ των σπονδύλων ή συμπίεση του ΝΜ οπότε συνοδεύονται με νευρικά συμπτώματα συμπιεστικής μυελοπάθειας.

Οι συχνότερα συγγενείς ανωμαλίες των σπονδύλων είναι:

Σπόνδυλοι δίκην πεταλούδας (butterfly vertebrae)

Αποτελούν υποκατηγορία των ημισπόνδυλων.

Χαρακτηρίζονται από συνδυασμένη απλασία της κοιλιακής και της μέσης μοίρας του σπονδυλικού σώματος με συνέπεια τη δημιουργία «σπονδύλου δίκην πεταλούδας». Οι σπόνδυλοι αυτοί απεικονίζονται σε ραχιαία προβολή.

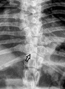
aktinografia petalouda

Στην ακτινογραφία (ραχιαία προβολή) απεικονίζεται ο σπόνδυλος Θ12 που έχει το σχήμα πεταλούδας

spondilos petaloyda

Ραχιαία άποψη σπονδύλου δίκην πεταλούδας

Συνενωμένοι σπόνδυλοι (block vertebrae)

Προκύπτουν από την αποτυχία δυο παρακειμένων σπονδύλων να διαχωριστούν κατά την ανάπτυξη του σκελετού. Το μεσοσπονδύλιο διάστημα είναι υποτυπώδες ή απουσιάζει. Η συνένωση των σπονδύλων δεν προκαλεί  παραμόρφωση της γραμμής της ΣΣ. Μπορεί να συνοδεύονται με ή χωρίς κλινικά συμπτώματα.

synenomenoi spondiloi

Σχεδιάγραμμα συνενομένων σπονδύλων

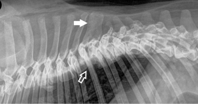
συνενομενοι σπονδιλοι

Συνένωση του σώματος και των ακανθωδών αποφύσεων των σπονδύλων Θ8 και Θ9

Βραχύσωμοι σπόνδυλοι (short vertebrae)

Χαρακτηρίζονται από ένα βραχύ σπονδυλικό σώμα με φυσιολογικό σχήμα. Δεν προκαλούν παραμόρφωση της γραμμής της ΣΣ.

ΣΗΜΕΙΩΣΗ ΠΡΟΣ ΤΟΥΣ ΑΝΑΓΝΩΣΤΕΣ: Εάν βρείτε λάθος σε αυτό το άρθρο, παρακαλώ στείλε mail (danourdista@gmail.com) για να διορθωθεί. Ευχαριστούμε για την υποστήριξή σας !

Κύλιση στην κορυφή