Στη κτηνιατρική κλινική νευρολογία το νεόπλασμα του ελύτρου του τρίδυμου νεύρου (trigeminal nerve sheath tumor, NST) είναι το συχνότερο νεόπλασμα των εγκεφαλικών νεύρων όπως είναι το ακουστικό νευρίνωμα του αιθουσαίου – κοχλιακού νεύρου (ΕΣ VIII) στον άνθρωπο.
Παρατηρείται συχνότερα σε ζώα μέσης ή μεγάλης ηλικίας. Μπορεί να προσβληθεί κάθε φυλή σκύλου ή γάτας. Φαίνεται ότι δεν υπάρχει προδιάθεση όσον αφορά το φύλο.
Προσβάλλονται κυρίως ο άνω και κάτω γναθικός κλάδος του τρίδυμου νεύρου. Ο οφθαλμικός κλάδος του τρίδυμου νεύρου προσβάλλεται σπανιότερα.
Η συχνότερη αιτία προσκόμισης είναι η ατροφία των μασητήριων μυών (κυρίως κροταφίτη και μασητήρα) από τη μία πλευρά της κεφαλής. Η ασύμμετρη ατροφία των μασητήριων μυών δεν μπορεί να θεωρηθεί ως πρωτογενής μυοπάθεια, διότι στη μυοπάθεια προκαλείται αμφοτερόπλευρη συμμετρική μυϊκή ατροφία. Μερικές φορές, μπορεί να παρατηρηθεί μερική ή πλήρης αναλγησία του προσώπου από την ίδια πλευρά με τη βλάβη αν προσβληθούν οι αισθητικές ίνες του τρίδυμου νεύρου.
Συμπτώματα νεοπλάσματος του τρίδυμου νεύρου με σειρά συχνότητας
- Ατροφία των μασητήριων μυών (κυρίως κροταφίτη και μασητήρα) από την ίδια πλευρά με το νεόπλασμα
- Μείωση της αισθητικότητας του προσώπου από τη ίδια πλευρά με το νεόπλασμα
- Απουσία βλεφαρικού αντανακλαστικού με φυσιολογική αντίδραση απειλής
- Μειωμένη αισθητικότητα του κερατοειδούς και έλκος στον κερατοειδή
- Ραιβόκρανο
- Σύνδρομο Horner από την ίδια πλευρά με το νεόπλασμα. Οι αλλοιώσεις στο τρίδυμο νεύρο μπορεί να προκαλέσουν κάκωση στις συμπαθητικές ίνες προς τον οφθαλμό, που πορεύονται γειτονικά με αυτό.
- Πτώση του άνω βλεφάρου
Τα νεοπλάσματα του ελύτρου του τρίδυμου νεύρου έχουν βραδεία εξέλιξη αλλά συχνά επεκτείνονται στο στέλεχος του εγκεφάλου στο επίπεδο της γέφυρας. Σε αυτή την περίπτωση παρατηρούνται και άλλα συμπτώματα όπως ελλείμματα και σε άλλες γειτονικές ΕΣ (π.χ. προσωπικό, ακουστικό, γλωσσοφαρυγγικό, πνευμονογαστρικό), μειωμένο επίπεδο συνείδησης, ομόπλευρη ημιπάρεση και ομόπλευρα ελλείμματα στις αντιδράσεις θέσης).

Ατροφία των μασητήριων μυών δεξιά λόγω νεοπλάσματος του ελύτρου του τρίδυμου νεύρου
Διαφορική διάγνωση νεοπλάσματος του ελύτρου του τρίδυμου νεύρου
- Αλλοίωση στο εγκεφαλικό στέλεχος που προσβάλλει τον κινητικό πυρήνα του τρίδυμου νεύρου (π.χ. φλεγμονή, λοίμωξη, νεοπλασία). Η ταυτόχρονη παρουσία νευρολογικών ελλειμμάτων συμβατών με αλλοίωση στο στέλεχος του εγκεφάλου πρέπει να θέση την υποψία ότι πρόκειται για κεντρική και όχι για περιφερική βλάβη.
- Τραυματική κάκωση σε ένα ή σε αμφότερους τους κλάδους του τρίδυμου νεύρου (εξωτερικό ή χειρουργικό).
- Άλλου τύπου νεοπλασία που προσβάλει το περιφερικό τμήμα του τρίδυμου νεύρου (π.χ. λεμφοσάρκωμα ειδικά σε γάτες)
- Φλεγμονή του τρίδυμου νεύρου (ιδιοπαθής νευρίτιδα του τρίδυμου νεύρου). Από την μια πλευρά. Για την οριστική διάγνωση απαιτείται βιοψία του νεύρου διότι είναι δύσκολο να διαφοροποιηθεί με MRI η νεοπλασία από τη φλεγμονή. Συνήθως, σε σκύλους με νευρίτιδα του τρίδυμου νεύρου απεικονίζεται διάχυτη διόγκωση του νεύρου χωρίς φαινόμενο μάζας (mass effect) σε αντίθεση με τη νεοπλασία που απεικονίζεται με μονήρη μάζα ή λοβώδεις μάζες.
Τελευταίες έρευνες έχουν δείξει ότι σε περίπτωση απεικόνισης στην MRI αλλοίωσης στο τρίδυμο νεύρο συχνά συνυπάρχει ασυμπτωματική συλλογής υγρού στο μέσο ους από την ίδια πλευρά. Υπάρχει υποψία ότι οφείλεται σε διαταραχή της νεύρωσης του τείνοντος την μαλθακή υπερώα μυός (tensor veli palatine muscle) (από τον κάτω γναθικό κλάδο του τρίδυμου νεύρου) με συνέπεια αδυναμία διάνοιξης της ακουστικής σάλπιγγας (Eustachian tube) και μειωμένη παροχέτευση του μέσου ωτός.
Διάγνωση
Η απεικονιστική εξέταση επιλογής είναι η MRI του εγκεφάλου.

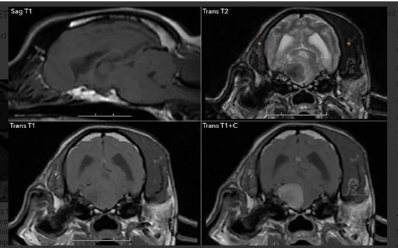
Το νεόπλασμα του ελύτρου του τρίδυμου νεύρου απεικονίζεται ως διόγκωση του νεύρου ή ως εστιακή μάζα στο επίπεδο της γέφυρας από όπου το τρίδυμο νεύρο εξέρχεται του εγκεφάλου. Το νεόπλασμα απεικονίζεται με σήμα ίσης ή μεγαλύτερης έντασης στην Τ2 ακολουθία, με σήμα ίσης έντασης στην Τι ακολουθία και παρουσιάζει ήπια ως μεγάλη απορρόφηση σκιαγραφικού στην Τ1 ακολουθία. Στην ανωτέρω MRI απεικονίζεται έντονη ατροφία του δεξιού κροταφίτη μυός σε σύγκριση με την αριστερή πλευρά.
Θεραπεία νεοπλάσματος του ελύτρου του τρίδυμου νεύρου
Έχει περιγραφεί χειρουργική αφαίρεση σε ανθρώπους και σε σκύλους. Εντούτοις, η εντόπιση αυτών των νεοπλασμάτων που είναι βαθειά εντός του κύτους του κρανίου συνεπάγεται ότι η χειρουργική θεραπεία σπάνια εφαρμόζεται.
Η θεραπεία επιλογής είναι η ακτινοθεραπεία. Σε μία σύγχρονη αναδρομική μελέτη (Hansen et al., 2016), που αφορούσε 8 σκύλους στους οποίους έγινε ακτινοθεραπεία ο μέσος όρος ζωής ήταν 745 ημέρες (99-1375 ημέρες).
Τα NST του τρίδυμου νεύρου έχουν μικρή ανταπόκριση στη χημειοθεραπεία.
Η παρηγορητική θεραπεία η οποία περιλαμβάνει κορτικοστεροειδή για τη μείωση του εγκεφαλικού οιδήματος, αν υφίσταται. διαρκεί για διάστημα όσο το επίπεδο ζωής του σκύλου είναι ικανοποιητικό. Αν το ζώο έχει επιληπτικές κρίσεις χορηγούνται αντιεπιληπτικά φάρμακα.
Το επίπεδο ζωής μειώνεται όταν η μάζα αρχίσει να συμπιέζει το στέλεχος του εγκεφάλου, με συνέπεια βαρύτερα συμπτώματα (απώλεια της αισθητικότητας στο πρόσωπο, κερατίτιδα, αυτοτραυματισμός). Ο χρόνος ζωής ποικίλει από 5-21 μήνες.
ΣΗΜΕΙΩΣΗ ΠΡΟΣ ΤΟΥΣ ΑΝΑΓΝΩΣΤΕΣ: Εάν βρείτε λάθος σε αυτό το άρθρο, παρακαλώ στείλε mail (danourdista@gmail.com) για να διορθωθεί. Ευχαριστούμε για την υποστήριξή σας !
